This is the sixth and final case in a six-part mini-series focusing on the management of geriatric patients in the ED. This series of cases was written by Drs. Rebecca Shaw, Nemat Alsaba, and Victoria Brazil.
Dr. Rebecca Shaw is an emergency physician currently working as a medical education fellow within the Emergency Department of the Gold Coast Hospital and Health Service in Queensland, Australia. Dr. Nemat Alsaba (@talk2nemat) is an emergency physician with a special interest in geriatric emergency medicine, medical education and simulation. She is trying her best to combine these interests to improve geriatric patient care across all health sectors. She is also an assistant professor in medical education and simulation at Bond university. Dr. Victoria Brazil is an emergency physician and medical educator. She is Professor of Emergency Medicine and Director of Simulation at the Gold Coast Health Service, and at Bond University medical program. Victoria’s main interests are in connecting education with patient care – through healthcare simulation, technology enabled learning, faculty development activities, and talking at conferences. Victoria is an enthusiast in the social media and #FOAMed world (@SocraticEM), and she is co-producer of Simulcast (Simulationpodcast.com).
Why It Matters
Elder abuse and neglect is under-recognized, under-reported and under-treated. The emergency department provides an opportunity to identify and intervene in cases of elder abuse. Often, the signs of abuse may be subtle. This case gives participants the chance to improving their skill in identifying elder abuse and to practice their approach to this emotionally challenging issue.
Clinical Vignette
A bedside RN comes to you and says, “Nora has been brought into ED after a fall at home 3 days ago. She is a bit tachycardic and complaining of some pain in her abdomen. She has a few bruises on the rest of her body. Could you please assess her?”
Case Summary
An 80-year old woman presents after a fall at home. She is complaining of right sided upper abdominal pain since the fall. She is also complaining of intermittent palpitations and dizziness prior to the fall. Participants are expected to identify that the cause of the fall is due to elder abuse and to manage this along with her concurrent medical issues and abdominal injury.
Key to a Successful Simulation
This case uses a standardized patient who has an extensive script and back story. This patient needs to be familiar with the story and respond in character to the participants questions and empathy (or lack of empathy). There should be a slow unfolding of the story as the participants gain the patient’s trust.
Download the case here:
ECG for the case:

Chest x-ray for the case:

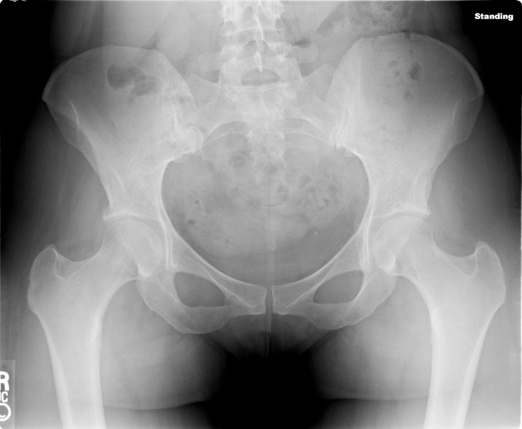
Pelvis x-ray for the case:

RUQ ultrasound for the case:
