This case was written by Dr. Martin Kuuskne from McGill University. Dr. Kuuskne is a PGY4 Emergency Medicine resident and one of the editors-in-chief at EMSimCases.
Why it Matters
Opioid toxicity is a clinical diagnosis that should be rapidly recognized and managed. This case highlights four important aspects of a patient presenting after an opioid overdose:
- Maintaining and addressing a wide differential diagnosis for the comatose patient.
- Indications for and dosing of naloxone in the treatment of opioid toxicity.
- Preoxygenation and intubation of a patient in the setting of significant hypoxemia.
- Recognition of heroin associated acute respiratory distress syndrome (ARDS), a rare complication of opioid toxicity.
Clinical Vignette
You are working in a community centre emergency department. A 34-year-old male is being brought into the resuscitation bay by EMS after being found unconscious in an alley-way by bystanders who called 911. The patient was given O2 by facemask and no other therapies en-route.
Case Summary
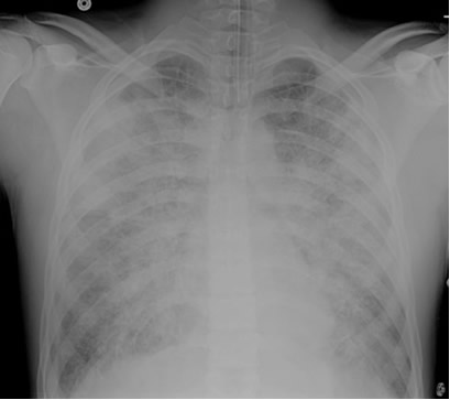
A 34-year-old male was found unconscious in an alleyway by bystanders who called EMS. The patient presents with a clinical opioid intoxication requiring naloxone administration. The patient also presents with acute respiratory distress syndrome (ARDS) secondary to heroin use requiring airway support, intubation and mechanical ventilation.
Download the case here: Opioid Overdose with ARDS
Preintubation CXR for case found here:
(CXR source: http://www.radiology.vcu.edu/programs/residents/quiz/pulm_cotw/PulmonConf/09-03-04/68yM%2008-03-04%20CXR.jpg)
Postintubation CXR for case found here:
(CXR source: http://courses.washington.edu/med620/images/mv_c3fig1.jpg)
ECG for case found here:
(ECG source: http://www.emedu.org/ecg/images/sb_1a.jpg)



Thank you for tthis
LikeLike