This case is written by Dr. Donika Orlich. She is a PGY5 Emergency Medicine resident at McMaster University who completed a fellowship in Simulation and Medical Education last year.
Why it Matters
The management of a late-term pregnant trauma patient poses unique challenges. In particular, this case highlights the following:
- The need for manual uterine displacement
- The importance of considering uterine rupture or abruption as part of the primary or secondary survey (and how this necessitates a pelvic exam)
- The challenge associated with controlling the noise and chaos in the trauma bay when multiple consultants are present
- How difficult it is to break bad news about two patients at once to the father
**Special note: please be aware that this case has the potentially to be distressing to learners. As such, if you are to run it, please have resources available to help learners should they be affected by the weight of this case.
Clinical Vignette
You are working in a tertiary care emergency department and receive an EMS Patch: “33F who appears quite pregnant coming to you from an MVC. Belted driver. Prolonged extrication at the scene (30mins). Altered LOC and hypotensive on scene. Current vitals: HR 150, BP 80/50, RR 40, O2 90% on NRB, CBG 6. 1L NS bolus going. ETA 5 minutes.”
Case Summary
A 33 year old G2P1 female at 32 weeks GA presents with blunt trauma following an MVC. She will be hypotensive due to both hypovolemic shock from a pelvic fracture and obstructive shock from a tension pneumothorax. Fetal monitoring will show the fetus in distress with tachycardia and late decelerations. Early airway intervention should be employed, with thoughtful selection of drugs for sedation and paralysis given the pregnancy. After intubation, the patient will remain hypotensive. She will require massive transfusion and coordination of care between orthopedics, general surgery, and obstetrics. The patient’s husband will also arrive after intubation and the team must give him the bad news.
Download the case here: Obstetrical trauma case
ECG for the case found here:

(ECG source: http://i0.wp.com/lifeinthefastlane.com/wp-content/uploads/2011/12/sinus-tachycardia.jpg)
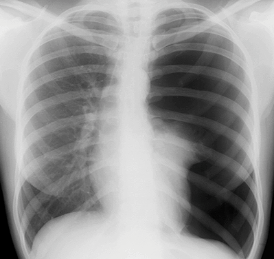
CXR for the case found here:

(CXR source: http://cdem.phpwebhosting.com/ssm/pulm/pneumothorax/images/cxr_ptx_3.png)
Pelvic XR for the case found here:

(PXR source: https://drhem.files.wordpress.com/2011/11/5-4-6.jpg)
Normal pericardial U/S for the case found here:
Left lung U/S with no lung sliding found here:
RUQ U/S showing FF found here: 
(All U/S images are courtesy of McMaster PoCUS Subspecialty Training Program)