This case is written by Drs. Nadia Primiani and Sev Perelman. They are both emergency physicians at Mount Sinai Hospital in Toronto. Dr. Primiani is the postgraduate education coordinator at the Schwartz/Reisman Emergency Centre. Dr. Perelman is the director of SIMSinai.
Why it Matters
Most emergency physicians have some degree of discomfort when a woman in her third trimester presents to the ED for any complaint. When that woman presents in acute distress, the discomfort is increased even further! This case takes learners through the management of a patient with a pregnancy-induced cardiomyopathy, reviewing:
- The importance of calling for help early
- The fact that all pregnant patients at term must be presumed to have difficult airways
- That the treatment of the underlying medical condition is still the primary focus – in this case, BiPap, definitive airway management, and ultimately, inotropic support
Clinical Vignette
You are working in a community ED and your team has been called urgently by the nurse to see a 38 year old female who is G2P1 at 36 weeks gestational age. She was brought in by her sister, who is quite agitated and upset, saying “everybody has been ignoring her symptoms for the last 4 weeks.” The patient has just experienced a syncopal episode at home.
Case Summary
A 38-year-old female G2P1 at 36 weeks GA presents with acute on chronic respiratory distress in addition to chronic peripheral edema. She undergoes respiratory fatigue and hypoxia requiring intubation. She then becomes hypotensive which the team discovers is secondary to cardiogenic shock, requiring vasopressor infusion and consultation with Cardiology/ ICU.
Download the case here: Pregnant Cardiomyopathy
ECG for the case found here:
(ECG source: https://lifeinthefastlane.com/ecg-library/dilated-cardiomyopathy/)
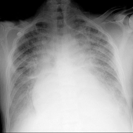
CXR for case found here:

(CXR source: https://www.med-ed.virginia.edu/courses/rad/cxr/postquestions/posttest.html)
Cardiac Ultrasound for the case found here:

(U/S source: http://www.thepocusatlas.com/echo/2hj4yjl0bcpxxokzzzoyip9mnz1ck5)
Lung U/S for the case found here:

(U/S source: http://www.thepocusatlas.com/pulmonary/)
RUQ FAST U/S Image found here:

(U/S source: http://sinaiem.us/tutorials/fast/us-ruq-normal/)
OB U/S found here:
(U/S source: https://www.youtube.com/watch?v=SKKnTLqI_VM)