This case was written by Drs. Rosamaria North and George McKay.
Dr. North is an ER physician and Simulation Director for Thunder Bay Regional Health Sciences Centre ER Dept. She completed her training with the Northern Ontario School of Medicine in Thunder Bay (family med and emergency medicine). Dr. McKay also completed all of his training at NOSM. They both love to facilitate simulations for learners and their ED group to learn from making their worst nightmares come to life.
WHY IT MATTERS
This case is important because it highlights a rare cause of cardiac arrest where the patient presents with several risk factors that could be identified as the clues to the obstructive respiratory pathology. It also highlights the need to move to an advanced airway when BVM is ineffective during cardiac arrest. Lastly, it’s also is an opportunity to practice troubleshooting a FB in the airway which can be really stressful.
CLINICAL VIGNETTE
EMS handover (advanced care crew): The patient was apparently eating dinner with family. They witnessed the patient collapse and started CPR. The initial rhythm was PEA and the patient has remained in PEA. We’ve inserted an IV and given 3 doses of epinephrine. There is an OP airway in place but the patient is difficult to bag.
CASE SUMMARY
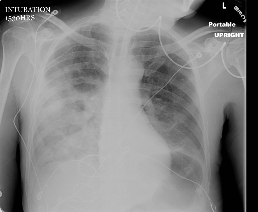
This case involves a 60-year-old male patient who arrives VSA in PEA after collapsing while eating dinner with family. The collateral history included that he was suspected to be intoxicated. The patient is difficult to bag with EMS. The learner will have to work through the can’t ventilate/can’t oxygenate scenario once they identify that BVM is ineffective.
DOWNLOAD THE CASE HERE:

Image courtesy of http://maryland.ccproject.com/wp-content/uploads/sites/3/2013/09/Necrotizing-Pneumonia.jpg

ECG Courtesy of https://commons.wikimedia.org/wiki/File:ECG_Sinus_Tachycardia_125_bpm.jpg