Last week’s case featured a critically ill patient with COVID-19. However, not all patients will present that sick, and not always to a tertiary care centre. In a follow-up case, this patient presents moderately unwell and is a good case to use in an ambulatory care setting such as an urgent care or clinic.
This case was written by Dr. Alex Chorley, a staff emergency physician at Hamilton Health Sciences in Hamilton, Ontario. The case is part of the ongoing in situ simulation project designed to discover and fix or mitigate latent safety threats in the Emergency Department. (To learn more about using in situ simulation for quality improvement, read our previous two-part blog post.)
Why It Matters
Outbreaks of novel respiratory illnesses occur with some regularity (e.g. Severe Acute Respiratory Syndrome (SARS) and Middle-East Respiratory Syndrome (MERS)). With world travel being a modern reality, disease spread can happen quickly requiring careful infection control practices. COVID-19 (aka 2019-nCoV) was first detected in Wuhan, China in December 2019 and has since been declared an outbreak by the WHO (see this link for further information).
This simulation case, designed for a moderately unwell patient presenting to an ambulatory clinic, provides a way to test and improve systems in place for infection control, PPE, and management of exposure to COVID-19 or any high risk communicable respiratory illness.
Clinical Vignette
A 38-year old male has returned from a business trip in Asia last week. Over the last 48 hours, he has developed fever, rigors, myalgias as well as nausea, vomiting and upper respiratory symptoms. He initially was trying to ride it out at home, but is feeling increasingly short of breath and fatigued. He has now presented to your ambulatory care clinic.
Case Summary
This case was designed during the January 2020 COVID-19 outbreak in order to assess and improve team preparedness for safely and effectively caring for a moderately ill coronavirus patient from triage through to EMS transfer out of an ambulatory care setting.
Download the case here: Ambulatory COVID-19
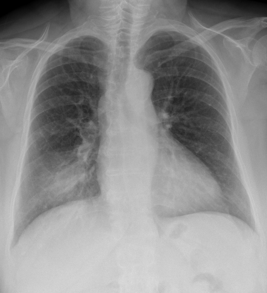
CXR for the case found here:

This is a fantastic resource which is so helpful for SIM centres needing to pull something together quickly. Thank you for sharing.
LikeLike
Thank you! I am using these scenarios for systems testing and they are very helpful. I have added EMS initial response and an admission to the ICU from the ED following intubation. When admitted to the unit the move the patient over to the monitor and immediately start a central line placement in the unit. This has allowed to see various gaps, develop a priority needs assessment and build a realistic education plan. This After action report is shared with administration first, then staff, and has proven instrumental in encouraging serious buy in.
LikeLike