This case is written by Dr. Kyla Caners. She is a staff emergency physician in Hamilton, Ontario and the Simulation Director of McMaster University’s FRCP-EM program. She is also one of the Editors-in-Chief here at EmSimCases.
Why it Matters
This case is a great example of challenging junior learners to a place that is just outside their comfort zone. Becoming comfortable with a primary and secondary survey is an important part of training in Emergency Medicine. Further, this case highlights the following:
- The need to clinically recognize a possible tension pneumothorax and intervene immediately with needle decompression or finger thoracostomy
- The challenge of performing/delegating multiple simultaneous interventions in a trauma patient
- The importance of reassessing the patient and searching for multiple possible causes of hypotension
Clinical Vignette
EMS arrives with a 44-year-old male to your tertiary care ED. The trauma team has been activated. He was the driver in a single vehicle MVC at highway speed. There was extensive damage to the car. He is currently screaming and moaning.
Case Summary
A 44 year-old male arrives by EMS to a tertiary care ED where the trauma team has been activated. He was the driver in a single-vehicle MVC. He presents screaming and moaning with a GCS of 13. He has an obvious open fracture of his right forearm. He also has decreased air entry to the right side of his chest. The team will need to recognize the tension pneumothorax as part of their primary survey. They will then need to irrigate and splint the right arm after they have completed their secondary survey. As the secondary survey is being completed, the patient will become hypotensive again. This time, the team will find free fluid in the RUQ.
Download the case here: MVC with Tension PTX
ECG for the case found here:

(ECG source: https://lifeinthefastlane.com/ecg-library/sinus-tachycardia/)
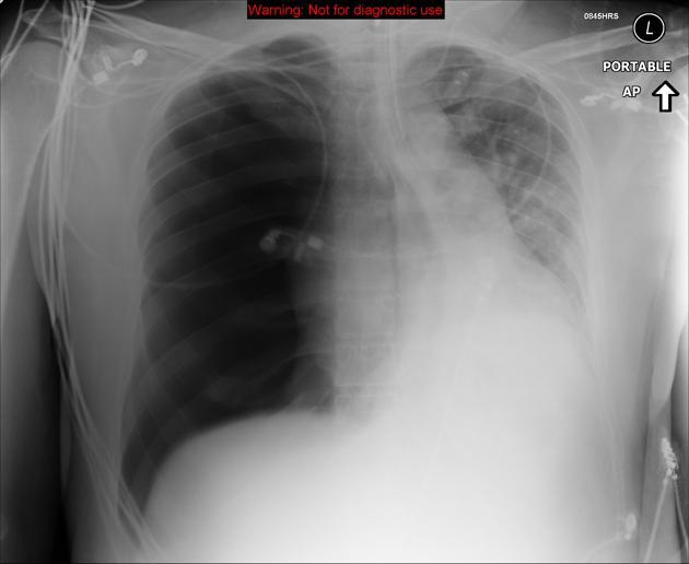
Initial CXR for the case found here:

(CXR source: https://radiopaedia.org/cases/tension-pneumothorax-9)
PXR for the case found here:

(PXR source: http://radiopaedia.org/articles/pelvis-1)
Second CXR for the case (post chest-tube insertion) found here:

(CXR source: http://jtd.amegroups.com/article/view/663/html)
FAST showing free fluid in the RUQ found here:

U/S showing no PCE found here:
(All U/S images are courtesy of McMaster PoCUS Subspecialty Training Program)
Perfect case example. I will use it in trainings. Thank you.
LikeLike