This case was written by Dr. Skye Crawford and Dr. Nathan Ashmead, academic emergency physicians at the University of British Columbia.
Why it Matters
Oncology patients often present a challenge to healthcare providers in the emergency department. They have complex medical needs, both from their underlying illness and from the surgical, medical and radiologic treatments that they receive. Common illnesses, like infections, often will have atypical symptoms. There are also a number of oncology-specific conditions like tumour lysis syndrome that have their own management principles.
Cancer patients and their families face emotionally challenging choices about diagnostic uncertainty, treatment options and side effects and curability expectations. Visits to the emergency department are particularly stressful times.
Navigating the medical system can be challenging for patients and providers alike. Delicate discussions like clarifying goals of care and prognosis are difficult to do comprehensively for emergency department providers. Yet it is often best to start these discussions in the ED to ensure that we ensure we provide care in accordance with out patients’ wishes and compassionately help families know what to expect.
Learners must develop the ability to simultaneously manage a patient’s acute medical needs while reaching out to family and caregivers to confirm the patient’s wishes. At the same time, they must compassionately deliver bad news to patients and family and help prepare them for the next steps of care in an unfamiliar system.
Clinical Vignette
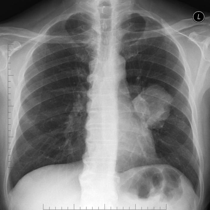
Our patient has known stage 4 metastatic lung cancer. His wife called EMS today because he has become progressively confused, nauseous, constipated, and fatigued over the past week.
Case Summary
This 63-year old man with known lung cancer presents with confusion, nausea and fatigue. Acute hypercalcemia of malignancy is diagnosed and needs to be treated. At the same time, a discussion with the wife (and substitute decision maker) will confirm that the patient wants active treatment but does not really have a clear idea of his prognosis. When pressed, the provider should deliver the bad news of the hypercalcemia compassionately and explain the context of an incomplete work-up in the ED. He should be referred for an in patient work-up with appropriate specialist consultation.
Download the case here: Hypercalcemia of Malignancy

