This case was written by Dr Suha Alshambari (Emergency Resident) and Dr Shaza Aouthmany (Attending Physician) at the University of Toledo Medical Center.
WHY IT MATTERS
Aortic dissection is a catastrophic illness with high mortalities rates. There are significant complications that can arise acutely and require close monitoring and prompt treatment in the emergency department while activating resources for definitive surgical management.
CLINICAL VIGNETTE
A 49-year old man arrives to the emergency department looking unwell. He had sudden onset of abdominal pain two hours earlier that moved up to his chest. He is anxious, distressed and feels like he could die.
CASE SUMMARY
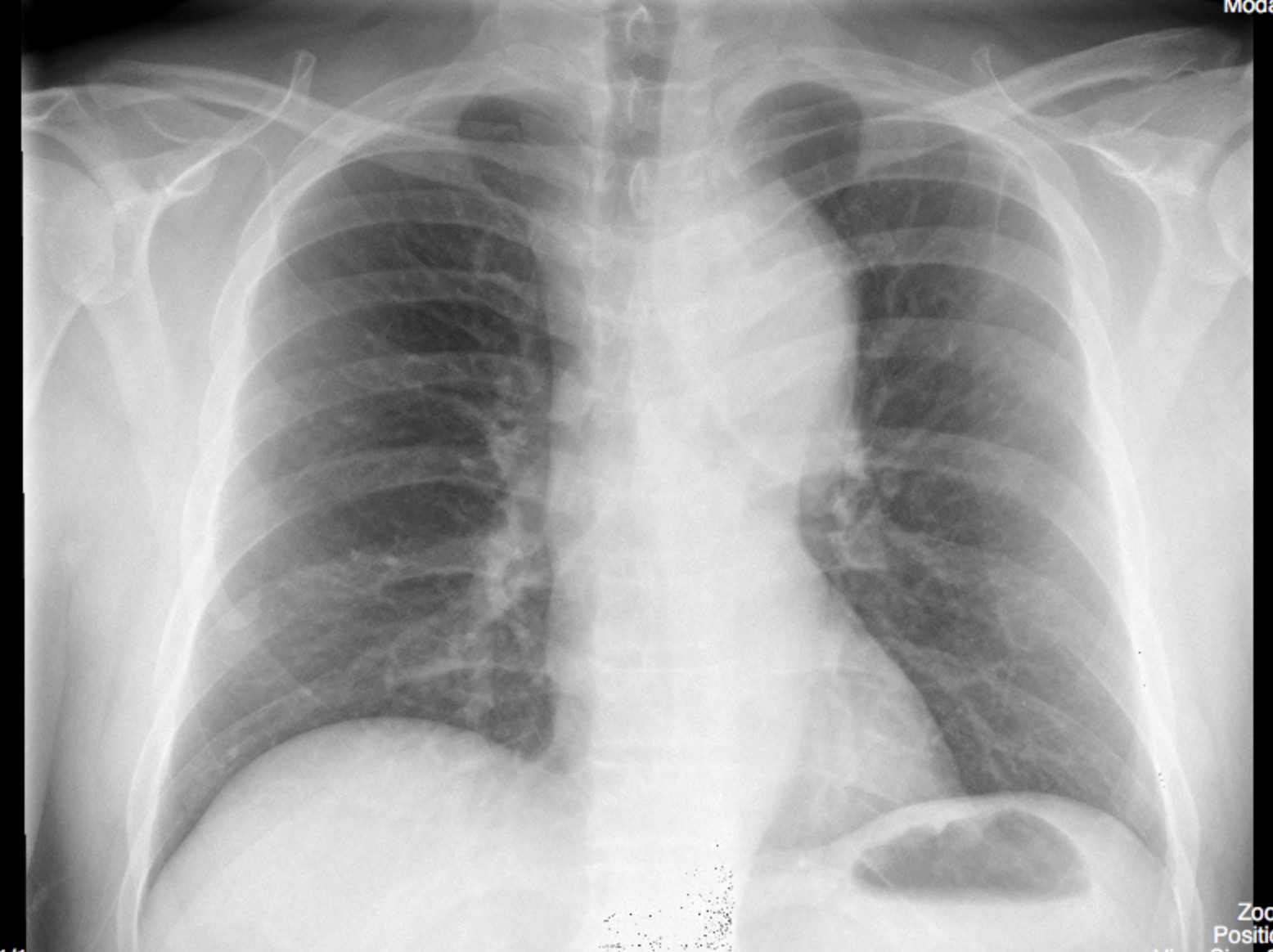
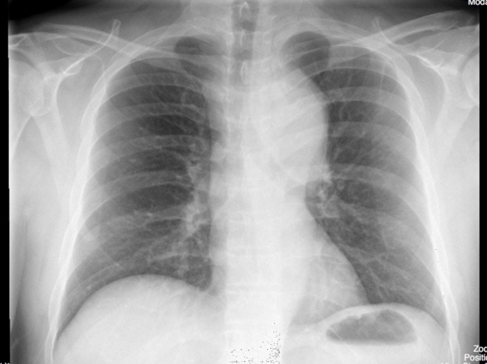
This 49-year old male had abdominal and chest pain that start while smoking cocaine. This is on top of a history of untreated hypertension. On exam, he has signs of aortic dissection and requires stabilization before going to the CT scanner. Upon arrival back from the CT scan (which confirms the diagnosis of Type A aortic dissection) the patient is altered and in shock. Assessment reveals the patient to be in cardiac tamponade requiring emergent pericardiocentesis.
DOWNLOAD THE CASE HERE: Cocaine-induced Aortic Dissection

