This case comes from Major Alex Koo. Since leaving the military, Dr. Koo works as an Emergency Physician and Assistant Professor of Emergency Medicine at MedStar Health and Georgetown University. He previously served as Deputy Medical Director at Andersen Simulation Center, the largest simulation center in the US Army as well as the Simulation Director for Madigan Army Medical Center’s Department of Emergency Medicine Residency. He has experience using simulation to train combat medics, resistive team dynamics, and emergency medicine residents alike.
Why it Matters
Massive hemoptysis is a seldom-encountered, but potentially life-threatening airway crisis. Emergency medicine learners must be able to quickly recognize this presentation while learning manage the airway effectively. The nuances of positioning and selective intubation are not encountered often and this simulation gives learners the opportunity to practice and work through the team dynamics and intubation technique within a safe environment.
Clinical Vignette
Per EMS Report: Patient called 911 complaining of breathlessness and cough, progressively worsening over the last three days. The patient is coming from home, where he was found sitting in his couch in mild respiratory distress.
Case Summary
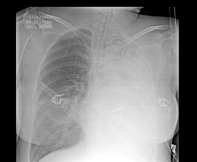
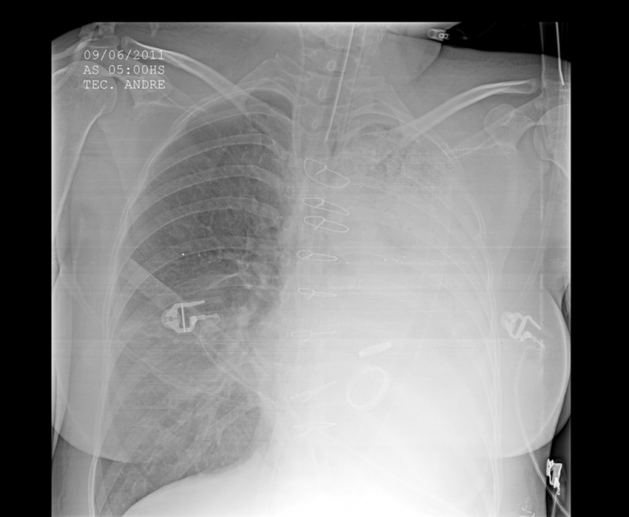
This is a case of a 57-year-old male with former smoking history, COPD on home O2, atrial fibrillation on anticoagulation coming into a community emergency department (ED) with symptoms consistent with COPD exacerbation. His initial presentation will respond to traditional therapies for COPD exacerbation. During his ED stay, however, the patient will develop a coughing fit and hemoptysis with airway compromise, requiring learners to secure the airway, reverse anticoagulation, and manage massive hemoptysis.
Download Case Here

From Radiopaedia: (https://radiopaedia.org/articles/chronic-obstructive-pulmonary-disease-1)

From FoamCAST: (https://foamcast.org/tag/hemoptysis)

From EMDaily: (http://emdaily.cooperhealth.org/content/board-review-critical-care-0)

From Life in the Fast Lane: (https://litfl.com/wp-content/uploads/2018/08/ECG-Atrial-Fibrillation-4.jpg)