This case is written by Dr. Kyla Caners. She is a PGY5 Emergency Medicine resident at McMaster University and is also one of the Editors-in-Chief here at EMSimCases.
Why it Matters
Aspirin toxicity causes a complex array of direct and indirect physiologic effects. There are several key factors in the management of aspirin toxicity that this case reviews:
- Urinary alkalinization is important to help renal clearance and to reduce the CNS effects of ASA
- Altered LOC is an ominous sign that can be due to either neuroglycopenia or cerebral edema
- Intubation of a patient with ASA toxicity is high-risk due to their requirement for a high respiratory rate. In fact, in the context of ASA overdose, intubation is an indication for dialysis.
Clinical Vignette
A 22 year-old female presents to the ED saying she just ingested 60 tablets of ASA because she wants to die. Her mom found her while she was finishing the bottle of 325mg tabs approximately 60 minutes ago and called EMS. The patient is complaining of nausea and tinnitus.
Case Summary
22 year-old female presents saying she just ingested 60 tablets of ASA because she wants to die. Her mom found her while she was finishing the bottle of 325mg tabs approximately 60 minutes ago and called EMS. The patient is complaining of nausea and tinnitus and is tachypneic. The team should consider activated charcoal and alkalinize the urine. If they do not initiate treatments, they will receive a critical VBG showing a mixed respiratory alkalosis and metabolic acidosis. The patient will then become somnolent. The team will be expected to check her blood sugar and call for dialysis. They will also need to intubate and recognize the need to hyperventilate and dialyze.
Download the case here: ASA Overdose
ECG for case found here:
(ECG source: http://en.ecgpedia.org/wiki/File:Sinustachycardia.jpg)
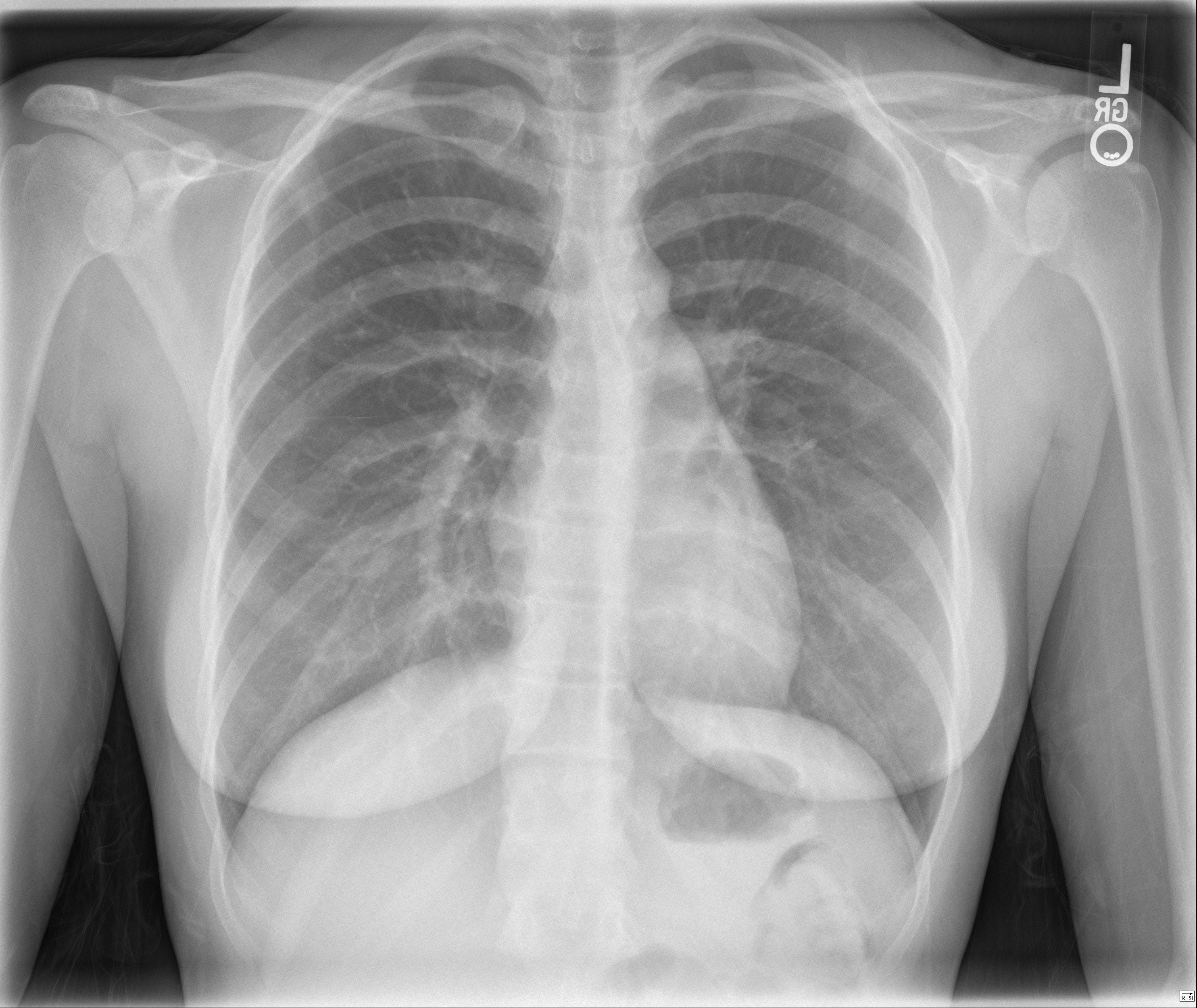
CXR for case found here:
(CXR source: http://radiologypics.com/2013/01/25/normal-female-chest-radiograph/)
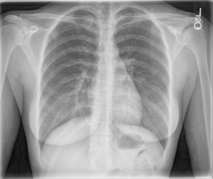
Post-intubation CXR for case found here:

(CXR source: https://emcow.files.wordpress.com/2012/11/normal-intubation2.jpg)

