This is the fifth in a case series we will be publishing that make up “The Nightmares Course”.
The Nightmares Course at Queen’s University (Kingston, Ontario) was developed in 2011 by Drs. Dan Howes and Mike O’Connor. The course emerged organically in response to requests from first year residents wanting more training in the response to acutely unwell patients. In 2014, Dr. Tim Chaplin took over as the course director and has expanded the course to include first year residents from 14 programs and to provide both formative feedback and summative assessment. The course involves 4 sessions between August and November and a summative OSCE in December. Each session involves 4-5 residents and covers 3 simulated scenarios that are based on common calls to the floor. The course has been adapted for use at the University of Saskatchewan, the University of Manitoba, and the University of Calgary.
Why it Matters
The first few months of residency can be a stressful time with long nights on call and the adjustment to a new level of responsibility. While help should always be available, the first few minutes of managing a decompensating patient is something all junior residents must be competent at. This case series will help to accomplish that through simulation.
Clinical Vignette
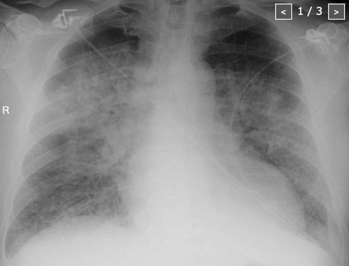
A patient is seen by the emergency team, diagnosed with a hip fracture after he slipped and fell, and admitted by the orthopedics service. His medications have been held and he has been made NPO and started on maintenance fluids in anticipation of an operation tomorrow. He is boarding in the emergency department when he wakes up with shortness of breath and hypoxia secondary pulmonary edema.
Case Summary
This case involves the approach to the patient with acute dyspnea. The patient is tachypneic, hypoxic, and hypertensive. The team should consider multiple possibilities but recognize pulmonary edema as the most likely cause.
The team is expected to appropriately call for help while initiating management. The patient will respond to supplemental oxygen, nitrates, and non-invasive positive pressure ventilation after which the internal medicine team will be consulted.
Download here
Chest X-ray for the Case

Reference = https://radiologyassistant.nl/chest/chest-x-ray-heart-failure
EKG for the Case

Reference = http://hqmeded-ecg.blogspot.com/2012/10/hyperkalemia-in-setting-of-left-bundle.html
Ultrasounds for the Case
Find it HERE.
Is there a reason why I am unable to download and view this case?
Thank you
LikeLike
Hi Christine, I’m not totally sure. It seems to be working on our end. Did you click on the case name beneath where it says download?
LikeLike