This case is written by Dr. Donika Orlich. She is a staff physician practising in the Greater Toronto Area. She completed her Emergency Medicine training at McMaster University and also obtained a fellowship in Simulation and Medical Education.
Why it Matters
Salicylate toxicity, while relatively rare, has fairly nuanced management. It is important for physicians to be aware of presenting features of the toxicity and also of key management steps. Some pearls from this case include:
- That hypoglycemia (and neuroglycopenia) is a manifestation of ASA toxicity.
- Urine alkalinization (and correction of hypokalemia) is an important initial treatment for suspected toxicity.
- Should a patient require intubation, it is paramount to set the ventilator to match the patient’s pre-intubation respiratory rate as best as possible.
- Dialysis is indicated in intubated patients and also in patients with profoundly altered mental status, high measured ASA levels, and renal failure.
Clinical Vignette
You are working at a community hospital. The triage nurse comes to tell you that they have just put an 82 year-old male in a resuscitation room. He was found unresponsive by his daughter and was brought in by EMS. In triage he was profoundly altered, febrile and hypotensive. His daughter is in the room with him.
Case Summary
The learner will be presented with an altered febrile patient, requiring an initial broad work-up and management plan. The learner will receive a critical VBG report of severe acidosis, hypoglycemia and hypokalemia, requiring management. Following this, the rest of the blood work and investigations will come back, giving the diagnosis of salicylate overdose. The patient’s mental status will continue to decline and learners should proceed to intubate the patient, anticipating issues given the acid-base status. The learner should also initiate urinary alkalinization and make arrangements for urgent dialysis.
Download the case here: ASA Toxicity
ECG for the case found here:

(ECG source: https://lifeinthefastlane.com/ecg-library/basics/hypokalaemia/)
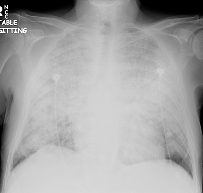
Initial CXR for the case found here:

(CXR source: http://www.radiology.vcu.edu/programs/residents/quiz/pulm_cotw/PulmonConf/09-03-04/68yM%2008-03-04%20CXR.jpg)
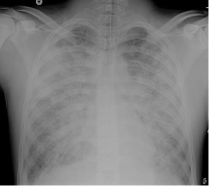
Post-intubation CXR for the case found here:

(CXR source: http://courses.washington.edu/med620/images/mv_c3fig1.jpg)
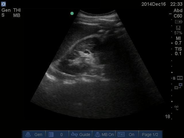
FAST showing no free fluid found here:

Pericardial U/S showing no PCE found here:
Abdominal U/S showing no AAA found here:

All U/S images are courtesy of McMaster PoCUS Subspecialty Training Program.