This case was written by Drs. Johnny Huang, Krista Dowhos and Lorraine Colpitts.
Dr. Johnny Huang is a family medicine resident at McMaster University. He is interested in medical education and health services research around Emergency Medicine. Outside of medicine, His hobbies include traveling, various sports leagues and sports analytics.
Dr. Krista Dowhos (twitter: @KDowhos) is an emergency medicine resident at McMaster University. She was born and raised in Thunder Bay, where she completed her undergraduate medical training. She is passionate about simulation and all things FOAMEd, especially the production of infographics for knowledge translation in Emergency Medicine.
Dr. Lorraine Colpitts is an emergency physician at Grand River and St. Mary’s General Hospitals. As an Assistant Clinical Professor and Regional Educational Lead at McMaster University, Dr. Colpitts is involved in teaching undergraduate and post-graduate learners at the Waterloo Regional Campus. She is also heavily involved in the local simulation program for Emergency Medicine learners. When she is not working, Dr Colpitts spends her time wrangling her children, making school lunches and cleaning under her kitchen table
Why it Matters
The cornerstones of sepsis management are identification of sepsis, early antibiotics, appropriate fluid resuscitation and source control. While straight-forward in concept, patient factors such as co-morbidities and medications can make this challenging.
This case will challenge learners to think about sepsis diagnosis and management in the context of a patient with a significant cardiac history and a dangerous source of infection — the septic ureteric stone.
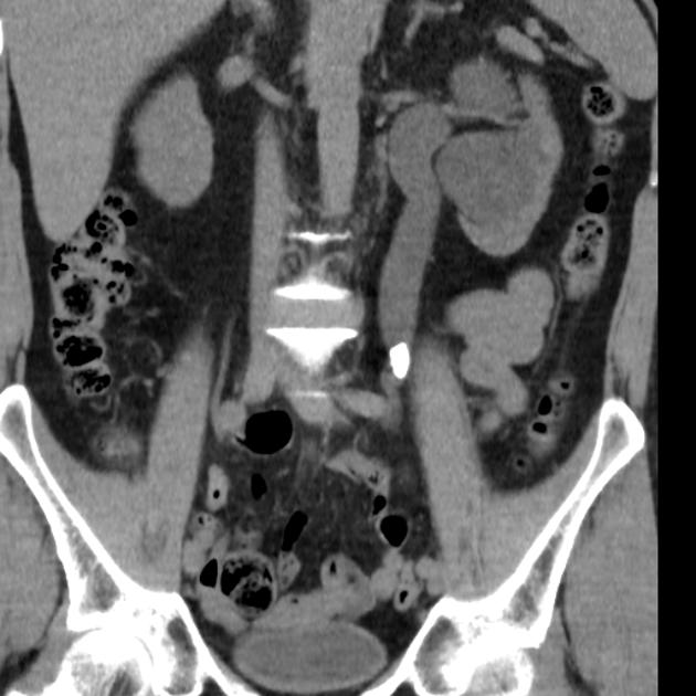
Clinical Vignette
A 59-year-old woman as been experiencing 7 days of dysuria, urinary frequency, and fever. This was preceded by intermittent left flank pain that has now become constant. She called EMS due to worsening left flank pain, nausea, and decreased PO intake. She had a heart attack with stent placement five years ago and has a decreased ejection fraction at baseline.
Case Summary
Denise is a 59-year-old female who presents with a 7-day history of urinary symptoms, fever, and left flank pain. She has a history of STEMI 5 years ago with chronic left-sided heart failure. She becomes unstable in the ER, requiring judicious fluid resuscitation, vasopressors, and empiric antibiotic treatment. The team leader needs to consider the history and arrange renal imaging to discover the severe sepsis is secondary to an infected ureteric calculus. From there, emergent urologic consultation and admission to hospital are warranted.
Download the Case here: Urologic Sepsis



