This case is written by Dr. Rob Woods. He works in both the adult and pediatric emergency departments in Saskatoon and has been working in New Zealand for the past year. He is the founder and director of the FRCP EM residency program in Saskatchewan.
Why it Matters
This case highlights important manifestations of sepsis in a neonate. In particular, it reinforces that:
- Apneas, hypoglycemia, and hypothermia are commonly seen as a result of systemic illness in neonates
- Prolonged or persistent apneas with associated desaturations require management with either high-flow oxygen or intubation
- Fluid resuscitation and broad-spectrum antibiotics are important early considerations when managing toxic neonates
Clinical Vignette
To be stated by the Paramedic with the Resus Nurse at bedside: “We picked up this term 3-day old male infant at their GPs office. Mom reports poor feeding for the past 12 hours, and two episodes of vomiting. They took him to the GPs office this morning and they found the temperature to be quite low at 33.1°C. They called us concerned about sepsis. We were only 5 minutes away so we have not obtained IV access. We did obtain a glucose level of 2.7. The child is lethargic and has very poor perfusion – peripheral cap refill is 7 seconds. We don’t have a cuff to get an accurate BP but the HR is 190.”
Case Summary
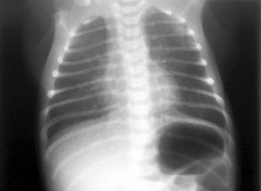
A 3-day-old term male infant is brought to the ED by EMS after being seen at their Family Physician’s office with a low temperature (33.1oC). The child has been feeding poorly for about 12 hours, and has vomited twice. He is lethargic on examination and poorly perfused with intermittent apneas lasting ~ 20 seconds. He requires immediate fluid resuscitation and broad-spectrum antibiotics. His perfusion will improve after IVF boluses, however the apneas will persist and necessitate intubation.
Download the case here: Newborn Sepsis with Apneas
Initial CXR for the case found here:

(CXR source: http://emedicine.medscape.com/article/414608-overview)
Post-intubation CXR for the case found here:

(CXR source: https://radiopaedia.org/articles/neonatal-pneumonia)
Great case Rob
LikeLike